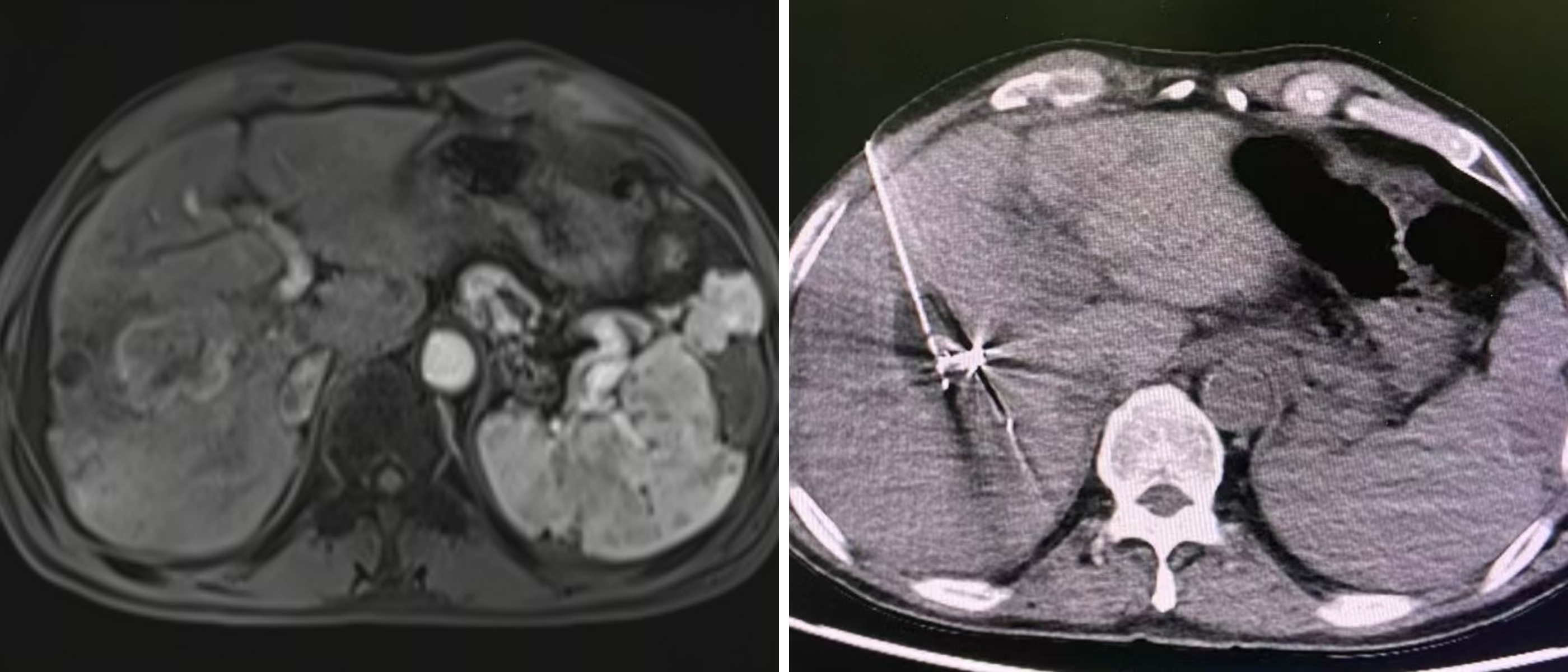
【通讯员:肖敏】近日,我院血管介入科成功实施本院首例氩氦刀冷冻消融术,为一名肝癌患者完成肿瘤微创治疗。该患者两年前曾因“肝癌合并门脉高压大出血”在我科救治,此次再度选择我院接受这一前沿技术。手术过程顺利,患者术后恢复良好,现已出院。
氩氦刀冷冻消融术是一种超微创的肿瘤物理治疗技术。治疗中,医生在影像实时引导下,将仅毫米粗细的探针经皮穿刺至肿瘤中心,通过氩气在针尖急速膨胀制冷,使病灶在数十秒内降至-140℃以下,形成可调控的“冰球”彻底摧毁肿瘤。随后切换氩气快速复温,完成“冻-融”循环。该技术具有创伤小、定位准、恢复快等优势,尤其适用于早期肝癌的根治及部分中晚期患者的减瘤治疗。

此项技术的成功开展,标志着我院在肝癌微创治疗领域取得新进展,也为患者提供了又一重要的治疗选择。科室将继续探索微创介入技术,助力患者实现更优疗效与生活质量。