“如果不是亲身经历,我不敢相信介入治疗如此神奇!”69岁的吴女士不幸罹患小细胞肺癌,肿瘤堵塞了上半身静脉,且近1个多月来咯血越来越严重。如果不及时手术止血,吴女士随时面临死神的威胁。
跑遍了深圳多家医院求医无果后,吴女士在医生的推荐下,来到南方科技大学医院血管与介入科接受介入手术治疗,手术2个小时顺利完成,术后2天咯血完全停止。
曾输血800cc!肿瘤侵犯气管引起“致命咯血”
据吴女士介绍,一年前她在深圳市光明区被确诊为小细胞肺癌,并到外地接受了肺癌根治手术。
小细胞肺癌高度恶性,做完4周期化疗后,吴女士的肿瘤还是复发了。很快,肿瘤堵塞吴女士上半身静脉,血液回流,导致吴女士出现了脸肿、脖子粗等症状,肿瘤同时侵犯气管,血液流入气管,最终从口腔排出。今年9月底,吴女士开始咯血,且量越来越多。

“ 肺癌患者容易出现咯血。肿瘤血管非常丰富,肿瘤长大到一定程度,其供给血管会不同程度扭曲、扩张,血流量大、压力高,肿瘤内部会不同程度坏死,肿瘤血管非常脆弱,当血管受侵蚀烂掉,血管内的血液就会‘漏’出来,最终表现为患者咯血。”南方科技大学医院血管与介入科主任唐俊介绍。
因为咯血严重,吴女士曾在外院输血800cc。她在家人陪伴下先后到深圳多家医院求医,多家医院治疗意见一致——鉴于肺癌咯血急症死亡率极高,需要尽快通过介入手术止血。经某三甲医院肿瘤科医生推荐,吴女士来到南方科技大学医院血管与介入科门诊求医。

吴女士入院后,唐俊及其团队及时为她完善检查,发现其肺部肿瘤已经侵犯到心脏和胸部大血管周围,并且已经导致上腔静脉和右肺动脉完全堵塞。据唐俊主任介绍,这是由于肿瘤缓慢生长侵犯导致,如果人体一瞬间发生剧烈的血流动力学改变,足以致命。
术后两天咯血停止,介入手术“神奇”在哪?
面对如此危重的病情,血管与介入科团队首先给吴女士进行了多组止血药的输注,但咯血依旧越来越重。经过缜密的病情分析和术前准备,唐俊和主治医师王成志于11月10日为吴女士进行了咯血动脉栓塞术。术中,医生熟练地将导管、导丝穿刺股动脉进入,通过造影找到出血病灶,利用弹簧圈+明胶海绵颗粒进行栓塞出血的肿瘤供血血管,从而达到止血目的。
除了堵住动脉的“漏洞”,医生还“顺便”给肿瘤“断粮”。术中,唐俊主任及其团队发现吴女士右侧支气管动脉和右侧胸廓内动脉异常发达,血流量增多,且参与肿瘤供血,遂果断对多支血管进行了栓塞,断了肿瘤部分供血。
经过2小时的努力,手术圆满成功。术后吴女士咯血量明显减少,术后2天咯血已经完全停止。“此次手术为吴女士后续肿瘤治疗奠定了良好的基础。术后,吴女士感慨地说,这次手术的成功,再次燃起她生存的希望。

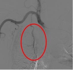
右侧支气管动脉(肿瘤供血)栓塞后消失

右侧胸廓内动脉(肿瘤供血)栓塞后消失
唐俊向记者表示,“介入手术是通过动脉途径,从源头人体最大的动脉出发,超选入人体分支血管,精准栓塞出血动脉,往往对出血量大、猛且危及生命的大出血非常有效。除了肿瘤出血,介入手术对于车祸、外伤、内脏、消化道等大出血也有良好疗效” 。
南方+见习记者 曾南希